A chi è rivolto il corso

A chiunque voglia abbracciare i ritrattamenti in modo predicibile e ripetitivo applicando una sequenza manuale e rotante senza incorrere in errori iatrogeni.

Alcuni dettagli del corso

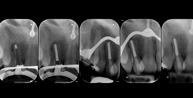
Il ritrattamento endodontico rappresenta una procedura fondamentale per la gestione di denti con fallimento della terapia endodontica primaria. Le cause principali di insuccesso possono essere legate a infezioni persistenti, fratture radicolari, o errori tecnici durante il trattamento iniziale. L’obiettivo del ritrattamento è garantire una completa decontaminazione del sistema canalare, risolvere le infezioni e favorire la guarigione dei tessuti periapicali. Questo intervento, sebbene altamente efficace, comporta sfide tecniche significative, tra cui la difficoltà nell’accesso ai canali radicolari precedentemente trattati, la rimozione di materiali di otturazione, la gestione della curvatura radicolare e la preservazione della struttura dentale residua. L’utilizzo di tecnologie avanzate, come la microscopia operativa, i laser e le apparecchiature per la localizzazione dei canali, ha migliorato notevolmente la precisione e l’efficacia di queste procedure. Durante la relazione verranno discussi i criteri di selezione dei casi da sottoporre a ritrattamento, le tecniche moderne per il trattamento delle infezioni persistenti e le prospettive future in termini di materiali e approcci terapeutici. Sarà inoltre esplorato l’importante ruolo della diagnosi clinica e radiografica per determinare il successo del ritrattamento, così come le implicazioni per la prognosi a lungo termine del dente ritrattato endodonticamente. Il ritrattamento endodontico, pur essendo una procedura complessa, offre una valida soluzione per il salvataggio dei denti compromessi, con ottimi tassi di successo quando eseguito da professionisti esperti e con tecnologie all’avanguardia.

Programma del corso

• Decision Making in Endodonzia
• Corretto uso della CBCT
• Rimozione perni in fibra e fusi
• Rimozione gutta percha e carrier based
• Gestione dei gradini
• Blocchi apicali e false strade.
• Utilizzo clinico dei bioceramici sia in formulazione sealer sia in putty.

L'iscrizione al corso comprende

  • Corso serale dalle ore 19,30 alle 21,30
  • Aperitivo
  • Attestato di Partecipazione
  • Possibilità di rivedere la registrazione del corso
  • Partecipando a questo corso otterrai il 10% di sconto per la partecipante ad altri corsi organizzati da Komet*

*i corsi saranno contraddistinti con la lettera K “nel booklet corsi 2025”

In caso di variazioni

Komet Academy si riserva il diritto di riprogrammare il corso in caso di variazioni organizzative, logistiche o di sicurezza. Se il corso previsto non potesse svolgersi come pianificato, l’attività formativa sarà riprogrammata e i partecipanti saranno avvisati della nuova data con un preavviso di almeno 15 giorni. Qualora la nuova data risultasse incompatibile con impegni preesistenti documentabili del partecipante, la quota versata verrà rimborsata completamente. Si precisa che non sarà possibile rimborsare le spese di viaggio o di pernottamento. Si consiglia, pertanto, di considerare le strutture convenzionate (Hotel Leonardo di Verona o Hotel Crowne Plaza di Verona) e/o di optare per tariffe flessibili o rimborsabili.

Per cancellazioni contattare: segreteria@dentalcampus.it

DAILY ENDO

Komet by Night: Ritrattamenti Endodontici

  • 20 Gennaio 2025
  • VERONA
    Centro Corsi Komet Academy
    Via Belgio, 12 - 37135 VR
  • Dr. Riccardo Tonini
  • Segreteria Organizzativa
    Dental Campus